Imagens da figura do cérebro em cores na ressonância magnética usados para cálculos da idade cerebral Cyrus Raji/ Sociedade Radiológica da América do Norte (RSNA) Pesquisadores descobriram que um corpo com maior massa muscular combinada com uma menor proporção de gordura visceral em relação à massa muscular está associado a uma idade cerebral mais jovem. A relação será apresentada na próxima semana na reunião anual da Sociedade Radiológica da América do Norte (RSNA). A gordura visceral fica localizada profundamente na cavidade abdominal, envolvendo órgãos internos vitais. Segundo o autor sênior do estudo, Cyrus Raji, professor associado de radiologia e neurologia do Departamento de Radiologia do Instituto Mallinckrodt de Radiologia da Faculdade de Medicina da Universidade de Washington em St. Louis, Missouri, essa saúde cerebral melhorada pode reduzir o risco de futuras doenças cerebrais, como o Alzheimer. "Embora seja sabido que o envelhecimento cronológico se traduz em perda de massa muscular e aumento da gordura abdominal oculta, este estudo demonstra que esses indicadores de saúde estão relacionados ao próprio envelhecimento cerebral. Ele mostra que a massa muscular e a massa gorda, quantificadas no corpo, são indicadores-chave da saúde cerebral, acompanhando o processo de envelhecimento do cérebro”, explica Raji. A idade cerebral é a estimativa computacional da idade cronológica a partir de uma ressonância magnética estrutural do cérebro. A massa muscular, monitorada por ressonância magnética corporal, pode ser um marcador indireto para diversas intervenções que visam reduzir a fragilidade e melhorar a saúde cerebral, e a idade cerebral prevista por imagens estruturais do cérebro pode fornecer informações sobre fatores de risco para a doença de Alzheimer, como a perda muscular. Para o estudo em andamento, 1.164 indivíduos saudáveis (52% mulheres) de quatro locais foram examinados por meio de ressonância magnética (RM) de corpo inteiro. A idade cronológica média dos participantes era de 55,17 anos. Os pesquisadores combinaram imagens de RM com sequências ponderadas em T1, uma técnica que produz imagens onde a gordura aparece brilhante e o fluido aparece escuro. Isso permite a obtenção de imagens otimizadas de tecido muscular, adiposo e cerebral. Um algoritmo de inteligência artificial (IA) foi utilizado para quantificar o volume muscular total normalizado, a gordura visceral (gordura abdominal oculta), a gordura subcutânea (gordura sob a pele) e a idade cerebral. Como resultado, os cientistas descobriram que uma maior proporção de gordura visceral em relação à massa muscular estava associada a uma idade cerebral mais avançada, enquanto a gordura subcutânea não apresentou associação significativa com a idade cerebral. Segundo o professor Raji, ganhar massa muscular e reduzir a gordura visceral são objetivos alcançáveis. A ressonância magnética de corpo inteiro e as estimativas de idade cerebral por inteligência artificial fornecem parâmetros objetivos para o planejamento e monitoramento de intervenções, incluindo programas ou terapias em estudo que visam reduzir a gordura visceral e preservar a massa muscular. "Esta pesquisa validou hipóteses amplamente aceitas sobre a associação entre biomarcadores de composição corporal e saúde cerebral, e fornece uma base para que esses biomarcadores sejam incluídos em futuros ensaios de diversas intervenções e tratamentos metabólicos", disse o professor. Raji afirmou ainda que as descobertas deste estudo podem orientar o desenvolvimento de futuras terapias, como medicamentos à base de GLP-1, que atuem na gordura visceral em vez da subcutânea e minimizem a perda muscular. Visto que, os medicamentos como Ozempic, sejam eficazes na indução da perda de gordura, “eles também podem estar relacionados a uma maior perda de massa muscular”, diz o cientista. “Nosso estudo pode orientar tratamentos futuros, promovendo pesquisas que quantifiquem a ressonância magnética da gordura corporal, da massa muscular e da idade cerebral, o que pode ajudar a determinar os regimes de dosagem ideais para os GLP-1s, a fim de alcançar os melhores resultados para a saúde do corpo e do cérebro”, disse. Mais Lidas Imagens da figura do cérebro em cores na ressonância magnética usados para cálculos da idade cerebral Cyrus Raji/ Sociedade Radiológica da América do Norte (RSNA) Pesquisadores descobriram que um corpo com maior massa muscular combinada com uma menor proporção de gordura visceral em relação à massa muscular está associado a uma idade cerebral mais jovem. A relação será apresentada na próxima semana na reunião anual da Sociedade Radiológica da América do Norte (RSNA). A gordura visceral fica localizada profundamente na cavidade abdominal, envolvendo órgãos internos vitais. Segundo o autor sênior do estudo, Cyrus Raji, professor associado de radiologia e neurologia do Departamento de Radiologia do Instituto Mallinckrodt de Radiologia da Faculdade de Medicina da Universidade de Washington em St. Louis, Missouri, essa saúde cerebral melhorada pode reduzir o risco de futuras doenças cerebrais, como o Alzheimer. "Embora seja sabido que o envelhecimento cronológico se traduz em perda de massa muscular e aumento da gordura abdominal oculta, este estudo demonstra que esses indicadores de saúde estão relacionados ao próprio envelhecimento cerebral. Ele mostra que a massa muscular e a massa gorda, quantificadas no corpo, são indicadores-chave da saúde cerebral, acompanhando o processo de envelhecimento do cérebro”, explica Raji. A idade cerebral é a estimativa computacional da idade cronológica a partir de uma ressonância magnética estrutural do cérebro. A massa muscular, monitorada por ressonância magnética corporal, pode ser um marcador indireto para diversas intervenções que visam reduzir a fragilidade e melhorar a saúde cerebral, e a idade cerebral prevista por imagens estruturais do cérebro pode fornecer informações sobre fatores de risco para a doença de Alzheimer, como a perda muscular. Para o estudo em andamento, 1.164 indivíduos saudáveis (52% mulheres) de quatro locais foram examinados por meio de ressonância magnética (RM) de corpo inteiro. A idade cronológica média dos participantes era de 55,17 anos. Os pesquisadores combinaram imagens de RM com sequências ponderadas em T1, uma técnica que produz imagens onde a gordura aparece brilhante e o fluido aparece escuro. Isso permite a obtenção de imagens otimizadas de tecido muscular, adiposo e cerebral. Um algoritmo de inteligência artificial (IA) foi utilizado para quantificar o volume muscular total normalizado, a gordura visceral (gordura abdominal oculta), a gordura subcutânea (gordura sob a pele) e a idade cerebral. Como resultado, os cientistas descobriram que uma maior proporção de gordura visceral em relação à massa muscular estava associada a uma idade cerebral mais avançada, enquanto a gordura subcutânea não apresentou associação significativa com a idade cerebral. Segundo o professor Raji, ganhar massa muscular e reduzir a gordura visceral são objetivos alcançáveis. A ressonância magnética de corpo inteiro e as estimativas de idade cerebral por inteligência artificial fornecem parâmetros objetivos para o planejamento e monitoramento de intervenções, incluindo programas ou terapias em estudo que visam reduzir a gordura visceral e preservar a massa muscular. "Esta pesquisa validou hipóteses amplamente aceitas sobre a associação entre biomarcadores de composição corporal e saúde cerebral, e fornece uma base para que esses biomarcadores sejam incluídos em futuros ensaios de diversas intervenções e tratamentos metabólicos", disse o professor. Raji afirmou ainda que as descobertas deste estudo podem orientar o desenvolvimento de futuras terapias, como medicamentos à base de GLP-1, que atuem na gordura visceral em vez da subcutânea e minimizem a perda muscular. Visto que, os medicamentos como Ozempic, sejam eficazes na indução da perda de gordura, “eles também podem estar relacionados a uma maior perda de massa muscular”, diz o cientista. “Nosso estudo pode orientar tratamentos futuros, promovendo pesquisas que quantifiquem a ressonância magnética da gordura corporal, da massa muscular e da idade cerebral, o que pode ajudar a determinar os regimes de dosagem ideais para os GLP-1s, a fim de alcançar os melhores resultados para a saúde do corpo e do cérebro”, disse. Mais Lidas

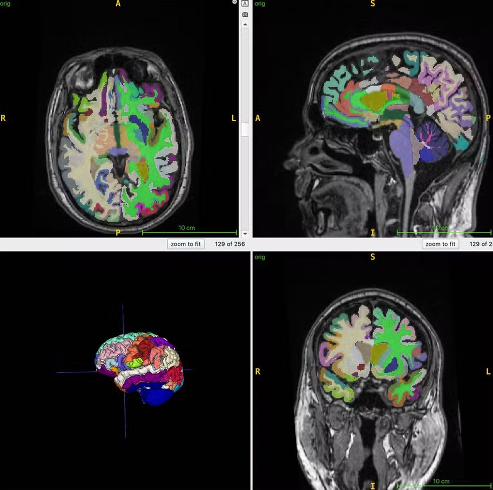
Imagens da figura do cérebro em cores na ressonância magnética usados para cálculos da idade cerebral — Foto: Cyrus Raji/ Sociedade Radiológica da América do Norte (RSNA)
Pesquisadores descobriram que um corpo com maior massa muscular combinada com uma menor proporção de gordura visceral em relação à massa muscular está associado a uma idade cerebral mais jovem. A relação será apresentada na próxima semana na reunião anual da Sociedade Radiológica da América do Norte (RSNA).
A gordura visceral fica localizada profundamente na cavidade abdominal, envolvendo órgãos internos vitais. Segundo o autor sênior do estudo, Cyrus Raji, professor associado de radiologia e neurologia do Departamento de Radiologia do Instituto Mallinckrodt de Radiologia da Faculdade de Medicina da Universidade de Washington em St. Louis, Missouri, essa saúde cerebral melhorada pode reduzir o risco de futuras doenças cerebrais, como o Alzheimer.
Continuar lendo
"Embora seja sabido que o envelhecimento cronológico se traduz em perda de massa muscular e aumento da gordura abdominal oculta, este estudo demonstra que esses indicadores de saúde estão relacionados ao próprio envelhecimento cerebral. Ele mostra que a massa muscular e a massa gorda, quantificadas no corpo, são indicadores-chave da saúde cerebral, acompanhando o processo de envelhecimento do cérebro”, explica Raji.
A idade cerebral é a estimativa computacional da idade cronológica a partir de uma ressonância magnética estrutural do cérebro. A massa muscular, monitorada por ressonância magnética corporal, pode ser um marcador indireto para diversas intervenções que visam reduzir a fragilidade e melhorar a saúde cerebral, e a idade cerebral prevista por imagens estruturais do cérebro pode fornecer informações sobre fatores de risco para a doença de Alzheimer, como a perda muscular.
Para o estudo em andamento, 1.164 indivíduos saudáveis (52% mulheres) de quatro locais foram examinados por meio de ressonância magnética (RM) de corpo inteiro.
A idade cronológica média dos participantes era de 55,17 anos. Os pesquisadores combinaram imagens de RM com sequências ponderadas em T1, uma técnica que produz imagens onde a gordura aparece brilhante e o fluido aparece escuro. Isso permite a obtenção de imagens otimizadas de tecido muscular, adiposo e cerebral.
Um algoritmo de inteligência artificial (IA) foi utilizado para quantificar o volume muscular total normalizado, a gordura visceral (gordura abdominal oculta), a gordura subcutânea (gordura sob a pele) e a idade cerebral.
Como resultado, os cientistas descobriram que uma maior proporção de gordura visceral em relação à massa muscular estava associada a uma idade cerebral mais avançada, enquanto a gordura subcutânea não apresentou associação significativa com a idade cerebral.
Segundo o professor Raji, ganhar massa muscular e reduzir a gordura visceral são objetivos alcançáveis. A ressonância magnética de corpo inteiro e as estimativas de idade cerebral por inteligência artificial fornecem parâmetros objetivos para o planejamento e monitoramento de intervenções, incluindo programas ou terapias em estudo que visam reduzir a gordura visceral e preservar a massa muscular.
"Esta pesquisa validou hipóteses amplamente aceitas sobre a associação entre biomarcadores de composição corporal e saúde cerebral, e fornece uma base para que esses biomarcadores sejam incluídos em futuros ensaios de diversas intervenções e tratamentos metabólicos", disse o professor.
Raji afirmou ainda que as descobertas deste estudo podem orientar o desenvolvimento de futuras terapias, como medicamentos à base de GLP-1, que atuem na gordura visceral em vez da subcutânea e minimizem a perda muscular. Visto que, os medicamentos como Ozempic, sejam eficazes na indução da perda de gordura, “eles também podem estar relacionados a uma maior perda de massa muscular”, diz o cientista.
“Nosso estudo pode orientar tratamentos futuros, promovendo pesquisas que quantifiquem a ressonância magnética da gordura corporal, da massa muscular e da idade cerebral, o que pode ajudar a determinar os regimes de dosagem ideais para os GLP-1s, a fim de alcançar os melhores resultados para a saúde do corpo e do cérebro”, disse.
Mais recente Próxima
Nova York bate recorde histórico e atinge expectativa de vida de 83,2 anosIsenção de responsabilidade: Os artigos republicados neste site são provenientes de plataformas públicas e são fornecidos apenas para fins informativos. Eles não refletem necessariamente a opinião da MEXC. Todos os direitos permanecem com os autores originais. Se você acredita que algum conteúdo infringe direitos de terceiros, entre em contato pelo e-mail service@support.mexc.com para solicitar a remoção. A MEXC não oferece garantias quanto à precisão, integridade ou atualidade das informações e não se responsabiliza por quaisquer ações tomadas com base no conteúdo fornecido. O conteúdo não constitui aconselhamento financeiro, jurídico ou profissional, nem deve ser considerado uma recomendação ou endosso por parte da MEXC.